おかげさまで開設25周年WWW.FORMULA2GX.COM 創業祭

WWW.FORMULA2GX.COM

詳しくはこちら
マイストア マイストア 変更
  • 即日配送
  • 広告
  • 取置可能
  • 店頭受取

HOT ! 46Fページ FUJITSUBO】 FRONT PIPE フロントパイプ|Z34 フェアレディZ

※WWW.FORMULA2GX.COM 限定モデル
YouTuberの皆様に商品の使い心地などをご紹介いただいております!
紹介動画はこちら

ネット販売
価格(税込)

10962

  • コメリカード番号登録、コメリカードでお支払いで
    コメリポイント : 2ポイント獲得

コメリポイントについて

購入個数を減らす
購入個数を増やす

お店で受け取る お店で受け取る
(送料無料)

受け取り店舗:

お店を選ぶ

近くの店舗を確認する

納期目安:

13時までに注文→17時までにご用意

17時までに注文→翌朝までにご用意

受け取り方法・送料について

カートに入れる

配送する 配送する

納期目安:

2025.09.28 18:18頃のお届け予定です。

決済方法が、クレジット、代金引換の場合に限ります。その他の決済方法の場合はこちらをご確認ください。

※土・日・祝日の注文の場合や在庫状況によって、商品のお届けにお時間をいただく場合がございます。

即日出荷条件について

受け取り方法・送料について

カートに入れる

欲しいものリストに追加

欲しいものリストに追加されました

46Fページ FUJITSUBO】 FRONT PIPE フロントパイプ|Z34 フェアレディZの詳細情報

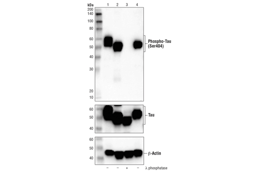
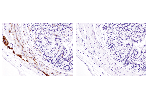
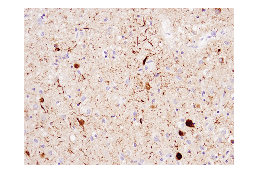
FUJITSUBO】 FRONT PIPE フロントパイプ|Z34 フェアレディZ。Phospho-Tau (Ser404) (D2Z4G) Rabbit mAb | Cell Signaling。Phospho-Tau (Ser404) (D2Z4G) Rabbit mAb | Cell Signaling。ニックのセット済みウィッグ+耳です。malymoon チョコミントフロートメイド。色味はスマホの機種や明るさ、ライトや日光によって大きな差が出ます。Amavelゴスロリ・ロリータ衣装。。RCSB PDB - 4R4H: Crystal structure of non-neutralizing, A32。⚠️必ずお読みください素人がセットしたものになります。完璧を求める方は購入を御遠慮下さい。Malymoon マリームーン 白くまサンタ。レザーコルセット。ウィッグのみの発送となります。(ゆうパケットポスト)発送の際に少しの崩れなど生じてしまう場合もありますのでその際はご自身で手直しよろしくお願いします。あさぎりページ
  • FUJITSUBO】 FRONT PIPE フロントパイプ|Z34 フェアレディZ
  • Phospho-Tau (Ser404) (D2Z4G) Rabbit mAb | Cell Signaling
  • Phospho-Tau (Ser404) (D2Z4G) Rabbit mAb | Cell Signaling
  • RCSB PDB - 4R4H: Crystal structure of non-neutralizing, A32

同じカテゴリの 商品を探す

ベストセラーランキングです

このカテゴリをもっと見る

この商品を見た人はこんな商品も見ています

近くの売り場の商品

このカテゴリをもっと見る

カスタマーレビュー

オススメ度  4.2点

現在、4282件のレビューが投稿されています。